Before and After Teeth Straightening

Invisalign Transformations

Invisalign Examples

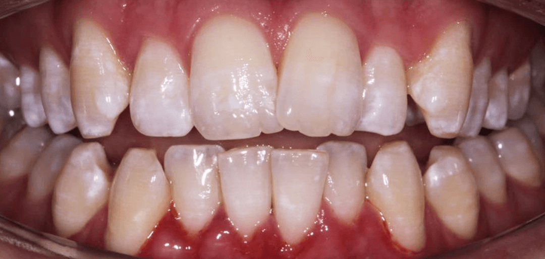
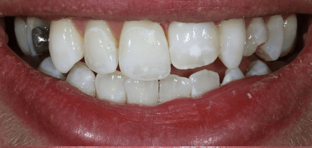
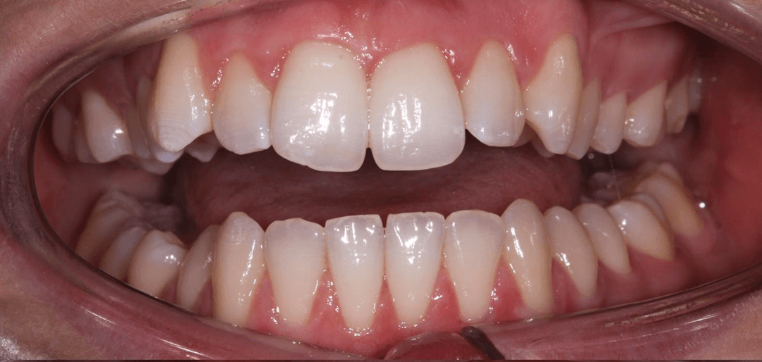
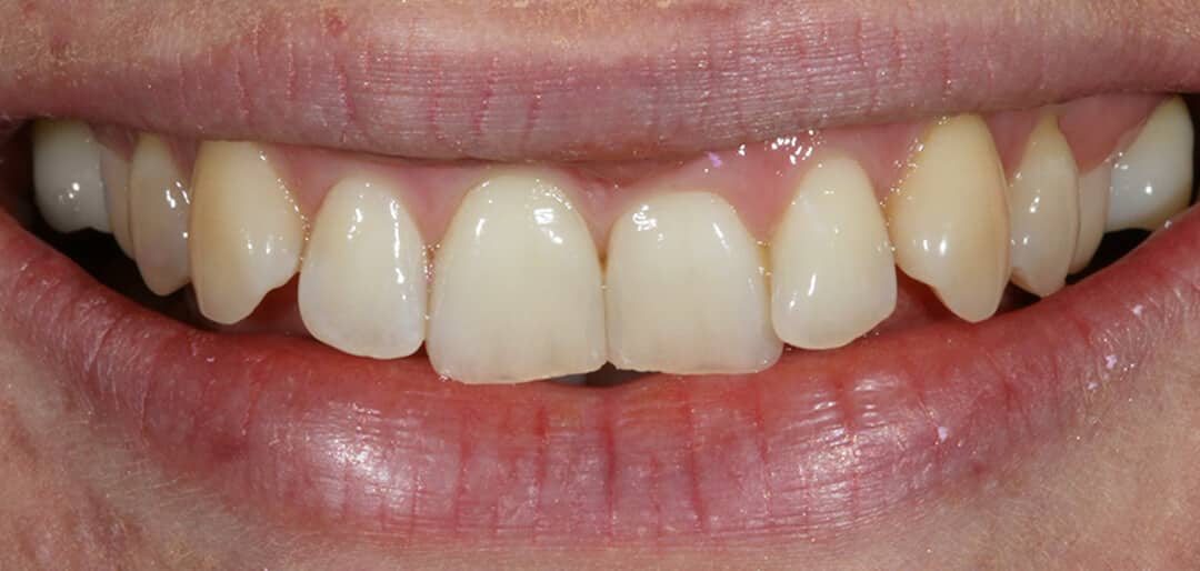
Before
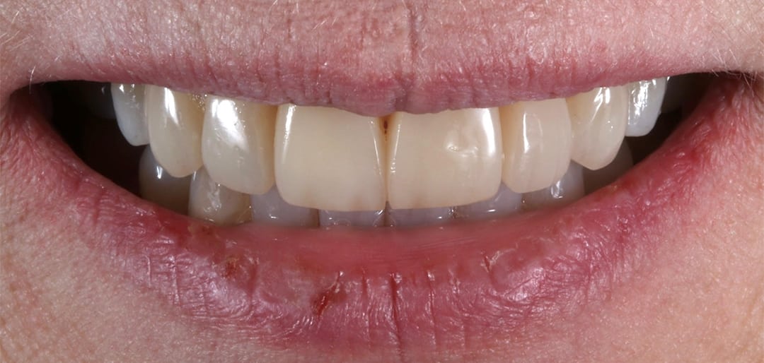
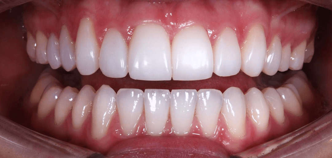
After

Slide right for BEFORE, slide left for AFTER

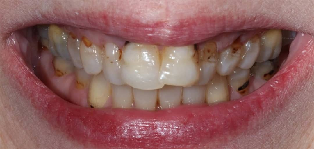
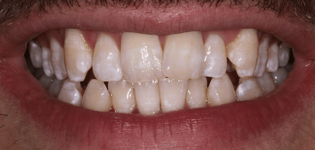
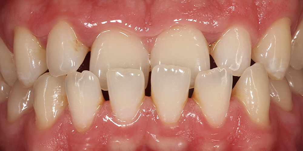
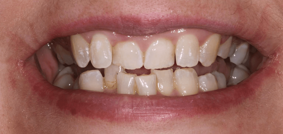
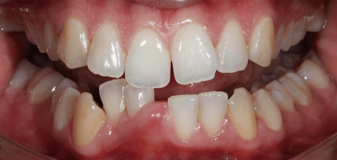
Before
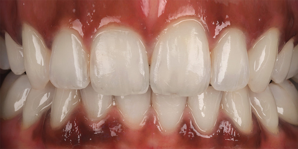
After

Slide right for BEFORE, slide left for AFTER

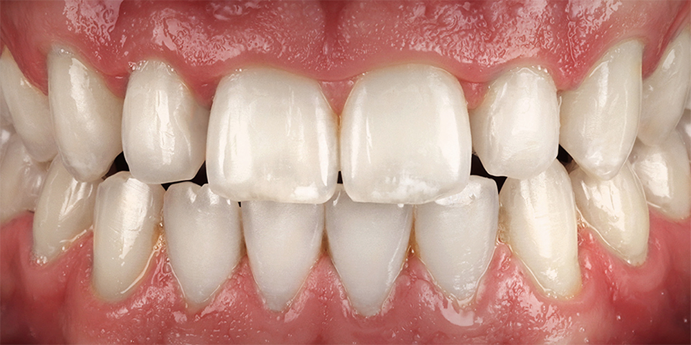
Before
After

Slide right for BEFORE, slide left for AFTER

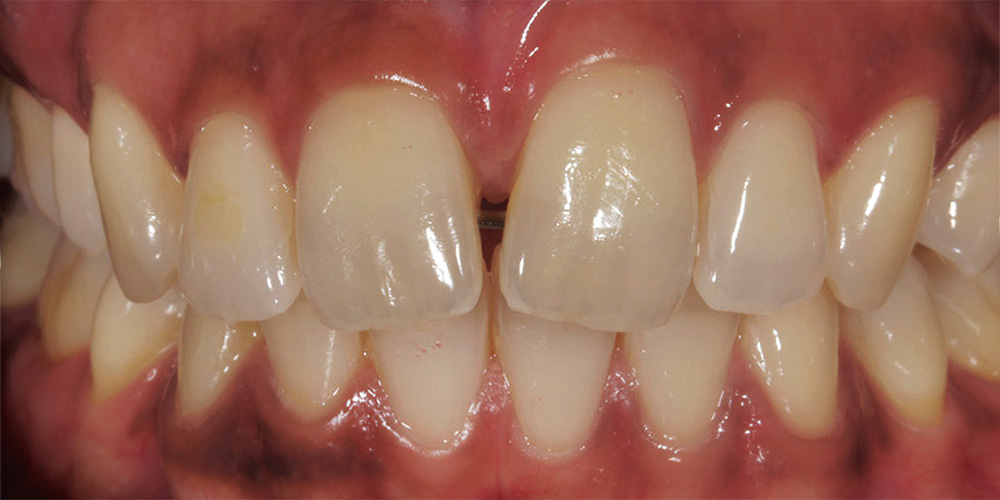
Before
After

Slide right for BEFORE, slide left for AFTER

Before
After

Slide right for BEFORE, slide left for AFTER

Before
After

Slide right for BEFORE, slide left for AFTER

Before
After

Slide right for BEFORE, slide left for AFTER

Before
After

Slide right for BEFORE, slide left for AFTER

Before
After

Slide right for BEFORE, slide left for AFTER

Before
After

Slide right for BEFORE, slide left for AFTER

Before
After

Slide right for BEFORE, slide left for AFTER

Before
After

Slide right for BEFORE, slide left for AFTER

Why Our Patients Love Us