
Dental Implants
Dental Implants for Missing Teeth in Leicester
Why Choose Us For Dental Implants

Fixed clear pricing

FREE 5 year guarantee on all dental implants*

FREE Consultation with our dentist

In-House CT Scanner

In-house bone grafting

Late night opening on Thursday until 7:30pm

Specialist dental implant referral centre with expert staff

Finance plans to help with treatment fees
Dental Implants
For Missing Teeth, Leicester
Whether you are missing a single tooth or you’re missing multiple teeth, we know how gaps between your teeth can affect your self-confidence and your ability to smile.
Here at Oakdale Dental in Leicester, we offer the broadest range of dental implant and denture services; the most permanent solution for missing teeth. Being a specialist referral centre, we also take on many referrals from other dentists for all oral surgery procedures, including:
O1 / Single tooth replacement
O2 / Multiple teeth replacement
O3 / Full set of teeth replacement
O4 / Implant supported bridges
Dental implants can genuinely improve quality of life for people who have lost their teeth. They offer excellent comfort, stability and durability, while also enhancing self-confidence.
Implants are now routinely used in Leicester and throughout the UK, as they are considered one of the most reliable and up-to date solutions for restoring both the appearance and function of natural teeth.
How We Place Dental Implants
Would you like a complimentary consultation?
Would you like
a complimentary
consultation?
O1 / Receive an accurate cost of your treatment
O2 / Discuss the best treatment options for you
O3 / Learn about our 5-year guarantee on dental implants
O4 / Explore our finance plans to help with treatment fees
O5 / Discuss IV sedation if you are a nervous patient
O6 / Meet our dedicated and committed team
At Oakdale Dental can talk through all your options for replacing missing teeth and restoring your confidence and smile.
Call our dedicated patient care team today on 0116 26 27 150
Book your appointment
for Dental Implant
treatment today
Our Patients On Their Implants Journey
What Is A
Dental Implant?
Dental implants have been used successfully for over 30 years to replace missing teeth and fixing loose dentures. They are made from pure titanium, and when placed in the jaw the dental implant bonds firmly with the surrounding bone. This can then be used to support a crown or a bridge or dentures. They are essentially made in the shape of a cylindrical or tapered screw of about 3 – 6 mm in diameter and 6 -16 mm in length. Generally they function in a similar way to the roots of natural teeth.
Dental implants can be used to replace:
O1 / a single missing tooth
O2 / multiple missing teeth
O3 / a full replacement of the top jaw, bottom jaw, or both
What are the benefits of having Dental Implants, Leicester?
- Dental implants are independent, freestanding units, meaning there is no need to cut or damage healthy adjacent teeth for support, as is required with traditional bridges.
- Because dental implants are anchored to the jawbone, they provide far greater stability than older methods such as gum-mounted dentures.
- Dental implants are strong, long-lasting, and closely resemble natural teeth in both appearance and function. Like natural teeth, they require regular care and attention; with proper maintenance, they can last for decades.
- In some cases, when multiple teeth are missing, a fixed dental bridge is not feasible. In such situations, placing two or more implants to support crowns may be the only suitable solution.
- Tooth loss can lead to shrinkage of the jawbone and gums. Dental implant-supported crowns help preserve and protect the underlying bone, supporting long-term oral health and facial structure.
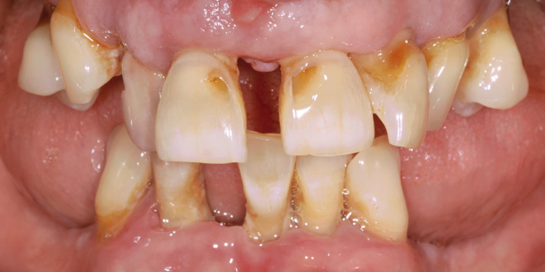
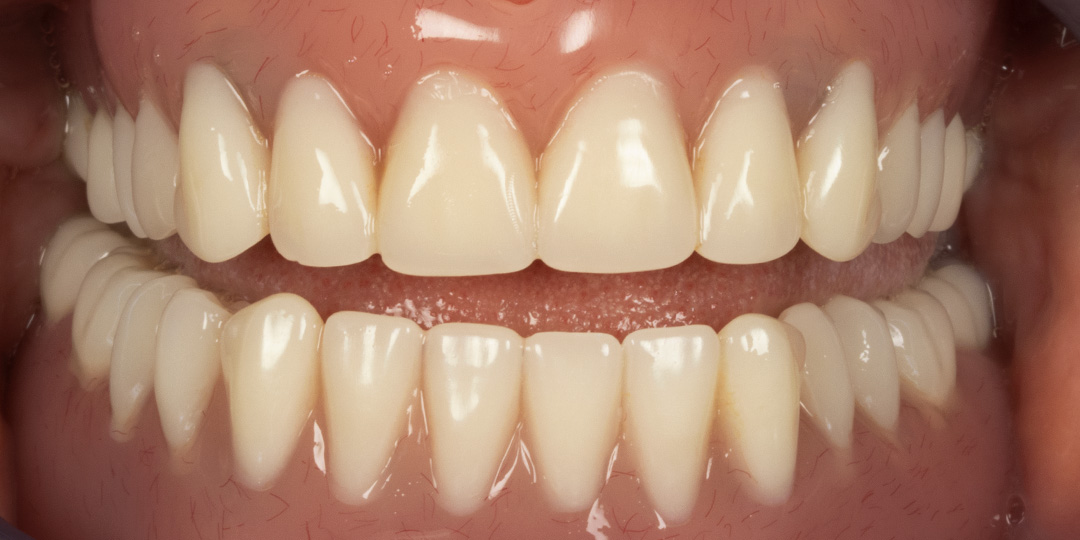
Dental Implant Transformations


Slide right for BEFORE, slide left for AFTER


Slide right for BEFORE, slide left for AFTER
Our Dental Implant Procedure
Our 5 Stage Process For Tooth Implant Placement

O1 Complimentary Consultation
Enjoy a complimentary dental implant consultation with ‘The Smiling Dentist’, Dr Alif Moosajee, and our patient care coordinator – where you’ll have a friendly chat to discuss your dental implant treatment options.

O2 Treatment Planning And Costings
Following an examination of your mouth and X-rays, Dr Moosajee, your implant dentist, will determine the type and number of implants required, their sizes, and their precise positions in your mouth. He may also fabricate an implant guide to ensure the optimal placement of the implants.

O3 Implant Placement
Implant placement is a relatively painless procedure, with the majority of implants inserted under local anaesthetic.

O4 Implant Stabilisation Period
Dental implants require time to integrate with the bone before the final crown can be fitted. An interim replacement tooth can be provided, so you won’t be left with a gap during this period. In most cases, crowns can be fitted within three months of implant placement. However, in certain situations, this may be completed sooner or delayed for up to six months.

O5 Placing New Teeth
After the stabilisation period and once the gums have healed, the final prosthetic teeth (crowns, bridges, or dentures) are fitted onto the implants. Now it’s time to show off your new smile.
Looking After Your Dental Implants Following the completion of your dental implant treatment, it is very important to take good care of your implants—as well as your natural teeth.
This typically involves maintaining excellent oral hygiene by brushing after meals, and using dental floss or interdental brushes to clean the small spaces between the teeth and implants.
Regular visits to both your dentist and dental hygienist are essential to keep your implants—and the rest of your mouth—in a healthy condition.
Dental Implants
Individual Quote Given Following
Complimentary
Fr £3495
Fr £2995
Fr £11000
Fr £22000
Fr £8000
Fr £20000
Our Dental Implant Procedure
Our 5 Stage Process For Tooth Implant Placement
Aftercare Of Dental Implants
Following the completion of the dental implant treatment it is very important to look after the implants as well as the rest of your teeth. This usually involves maintaining good oral hygiene by brushing after meals, using dental floss or special brushes for cleaning the small gaps between the teeth and implants. Regular visits to the dentist and the dental hygienist are important in order to maintain the implants as well as the natural teeth in a healthy condition.





