
Composite Bonding
For all your cosmetic dental needs,
call Oakdale Dental today
and book an appointment
Book Now Your Complimentary Consultation
What Is Composite Bonding?
One Appointment
Composite bonding, also known as dental bonding, is a quick cosmetic procedure used to correct minor imperfections in teeth, such as chips, gaps, or uneven edges. It’s an excellent way to achieve an instant smile makeover in just one appointment.
Natural-Looking Results
The procedure involves lightly preparing the surface of the tooth before applying a tooth-coloured composite resin. The material is carefully shaped to achieve the desired result and then hardened using a special curing light. Your cosmetic dentist will ensure the final result looks natural and blends seamlessly with your surrounding teeth.
Less than 30 Minutes
Depending on how many teeth are being treated, the procedure typically takes around 30 minutes per tooth. With good oral care and regular dental check-ups, the results of composite bonding can last for several years.
Composite bonding
Is Suitable For:
Alternative options to composite bonding include same-day crowns, dental inlays or onlays, or porcelain veneers. Book an appointment with our cosmetic dentist at Oakdale Dental to discuss your concerns and find out which treatment would be the most suitable for you.

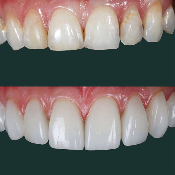
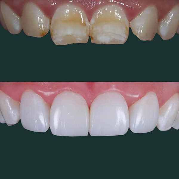
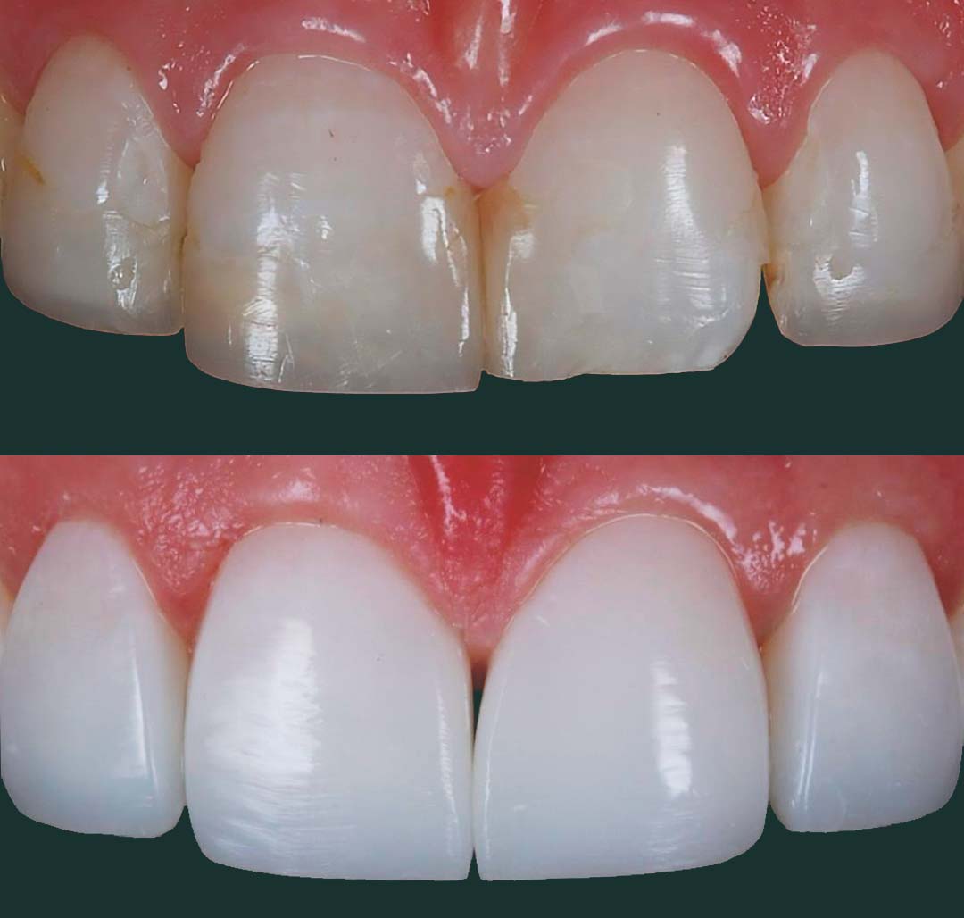
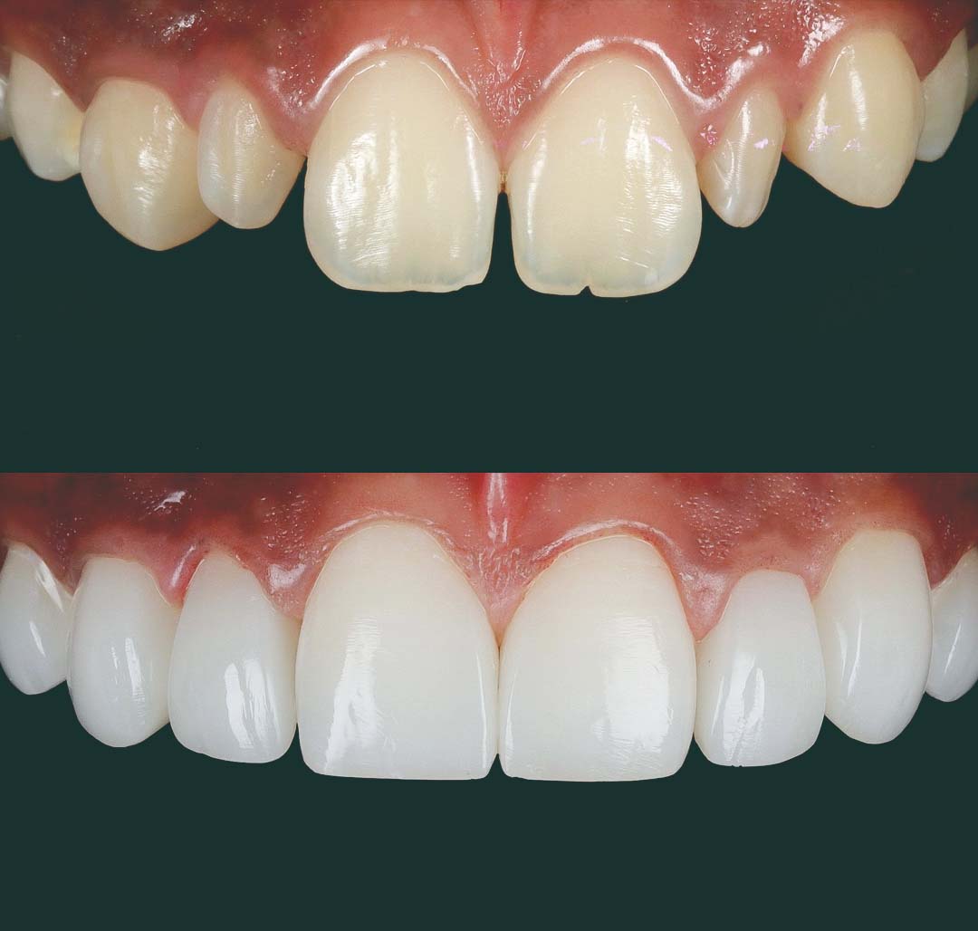
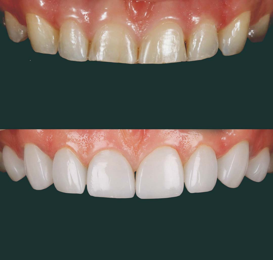
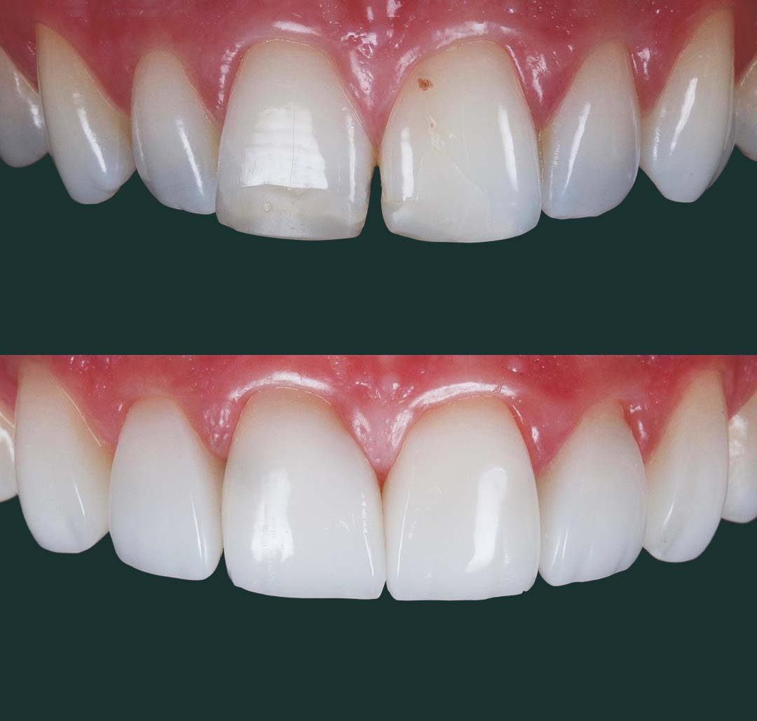
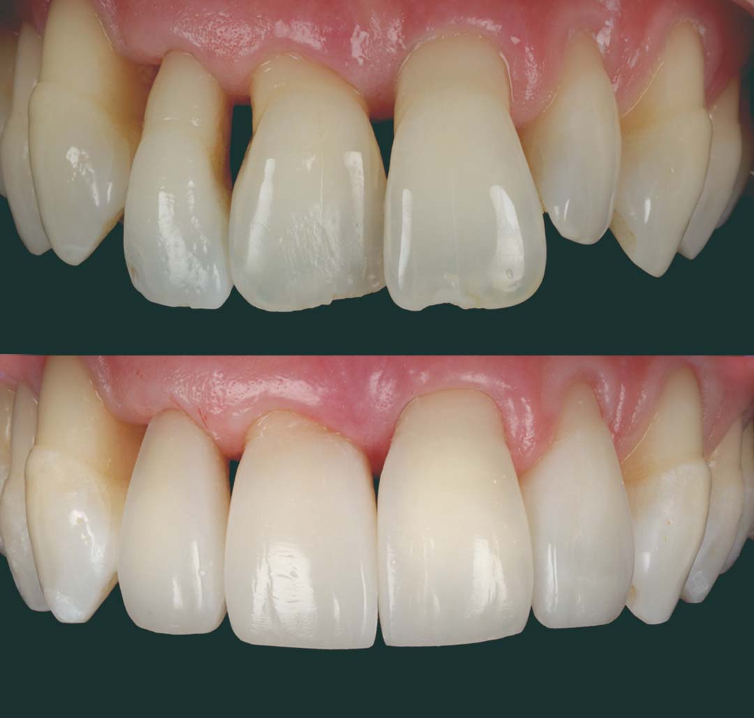
Real Composite Bonding Results at Oakdale Dental, Leicester
See the results our patients have achieved with Composite Bonding at Oakdale Dental. These real before and after cases show how minor imperfections such as chips, gaps, and uneven teeth can be improved quickly and naturally.
Book Today
A Free Consultation For Dental Bonding
Complete the form below, and we will call you to discuss your dental treatment options.

What Our Patients Say About Composite Bonding at Oakdale Dental
Cosmetic Teeth Contouring in Leicester
In some cases, it may be necessary to slightly reshape the tips or sides of a tooth. This can help make a tooth less pointy, smooth jagged edges, level out small chips, or shorten the length of a tooth. These subtle adjustments help create a more even and symmetrical smile in a simple and affordable way.
Teeth contouring is a precise cosmetic procedure carried out by our experienced dentists to correct minor imperfections and provide an instant improvement to your smile.
The treatment usually takes just a few minutes and can also be combined with composite bonding for enhanced results.
If you are interested in tooth contouring or composite bonding to improve your smile, please get in touch with Oakdale Dental today
We make complex simple
From dental health to dental implants we make complex treatments simple.
Tell us what you want achieve and we do the rest.








