
Before And After Composite Bonding
Composite Bonding Transformations
















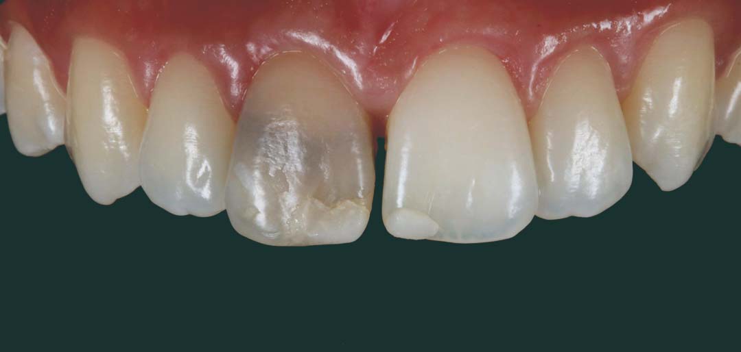
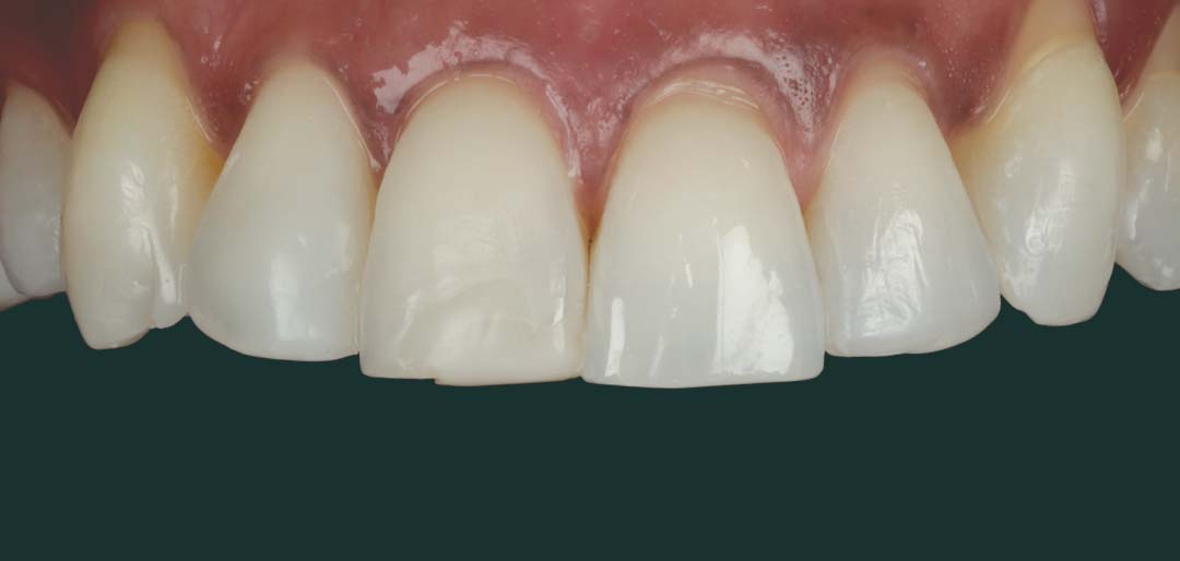
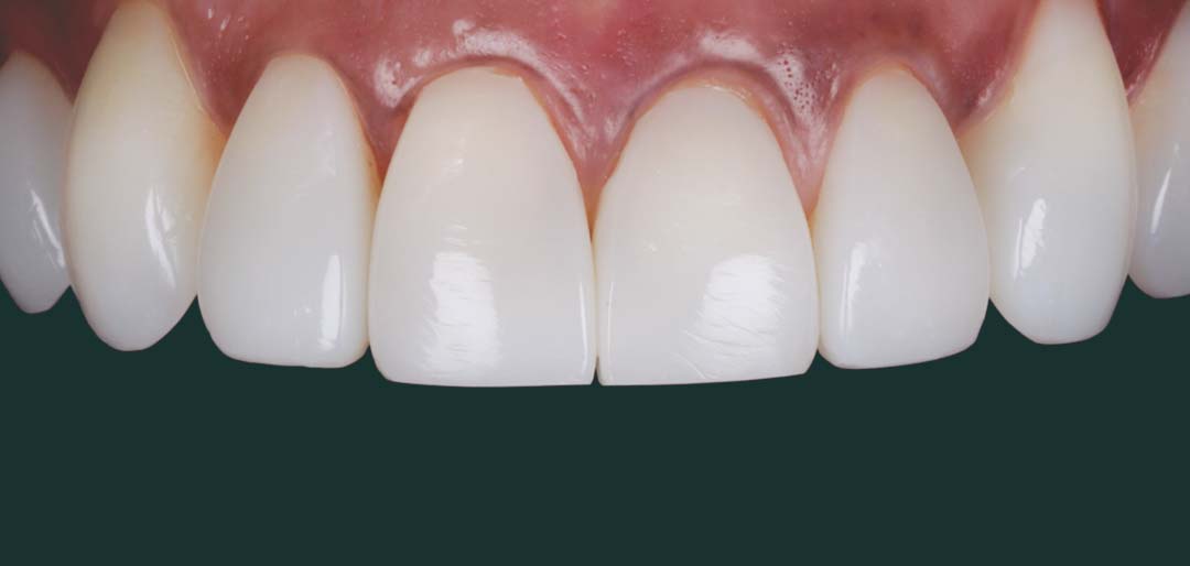
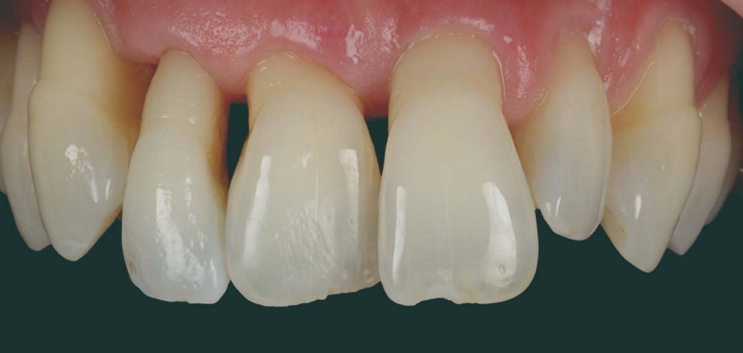
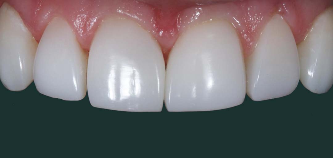
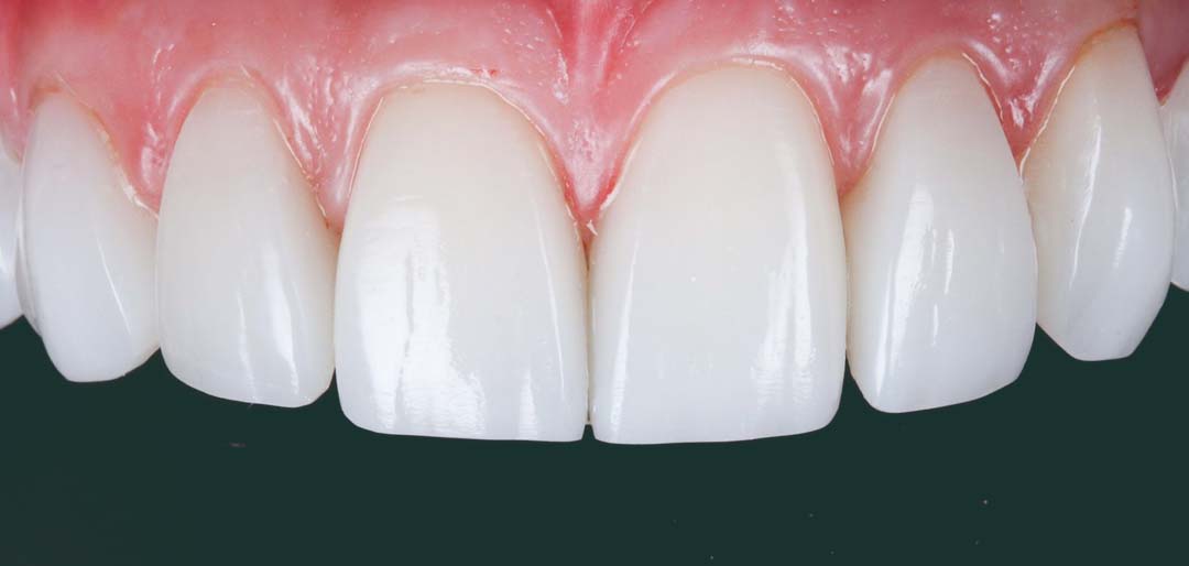
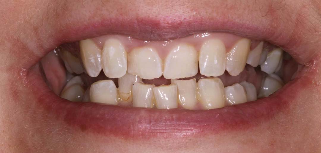
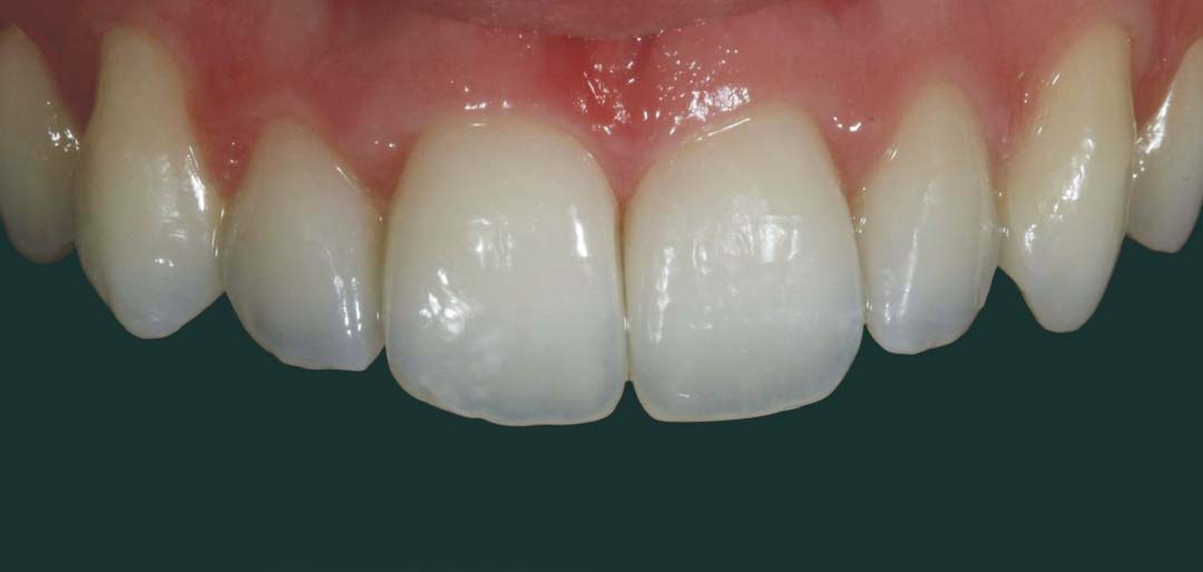
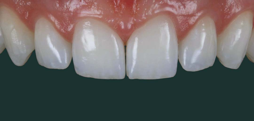
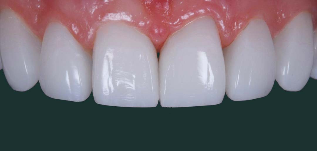
Before
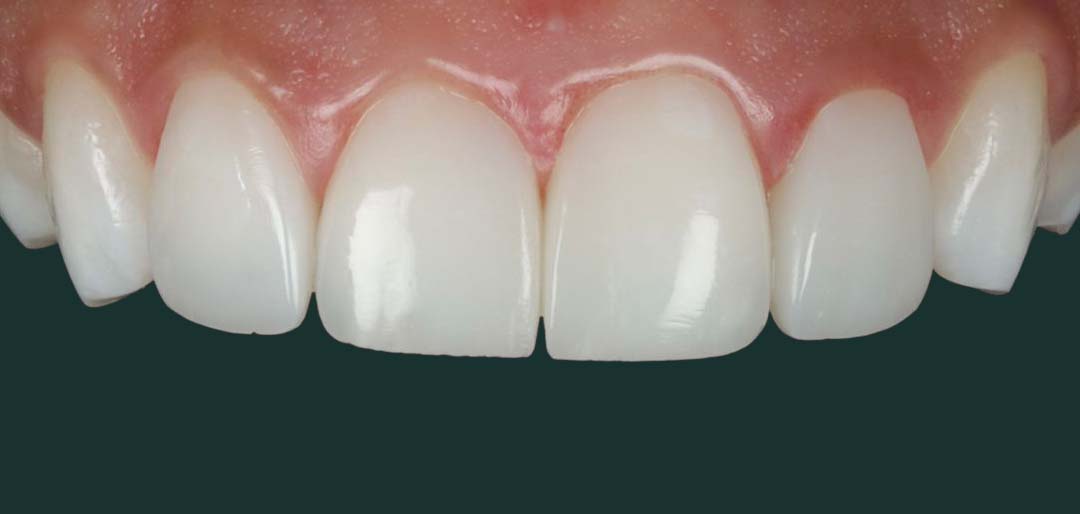
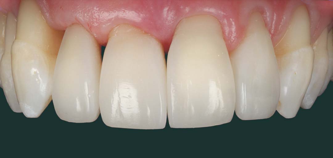
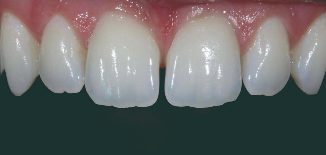
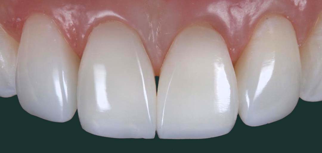
After
Slide right for BEFORE, slide left for AFTER


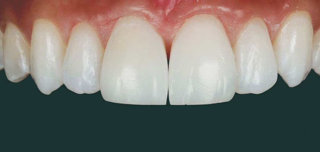
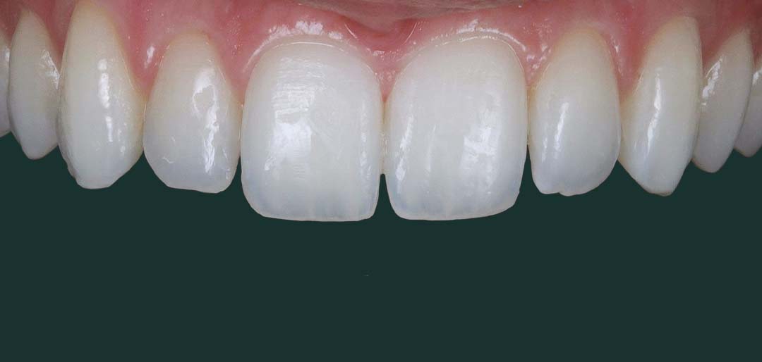
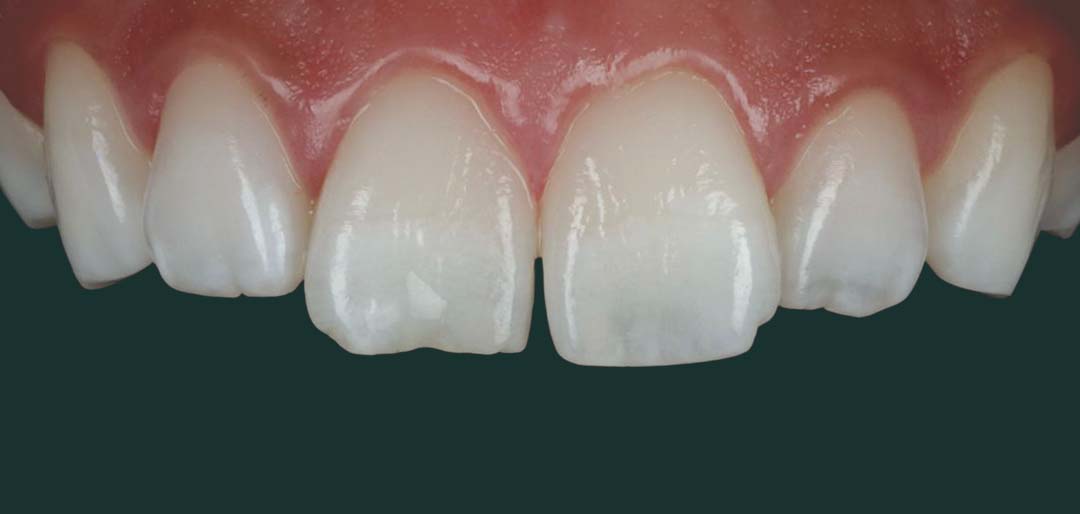
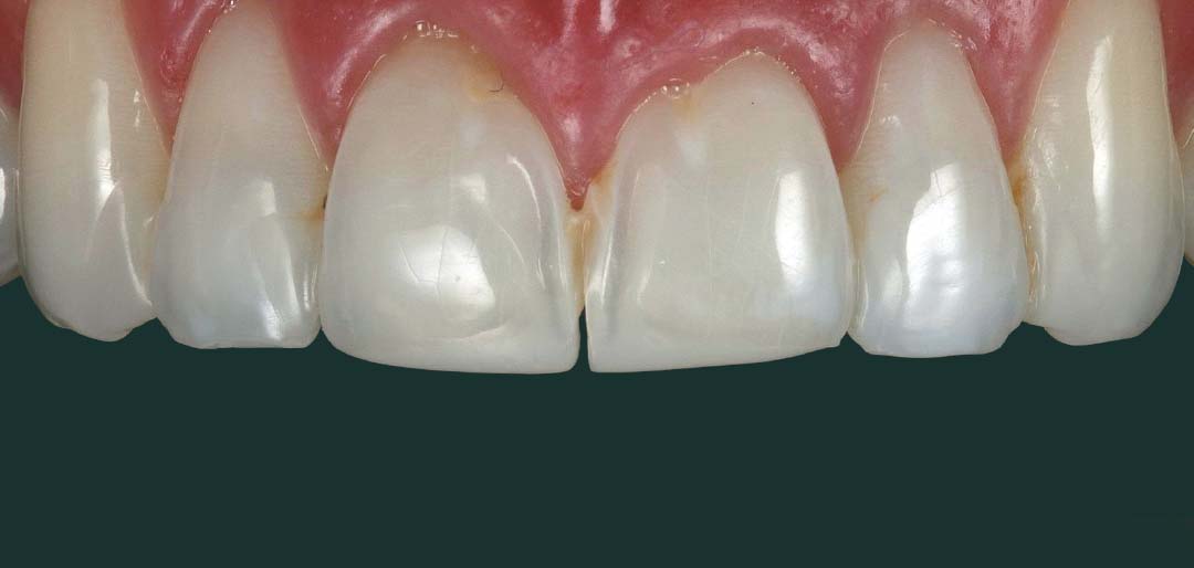
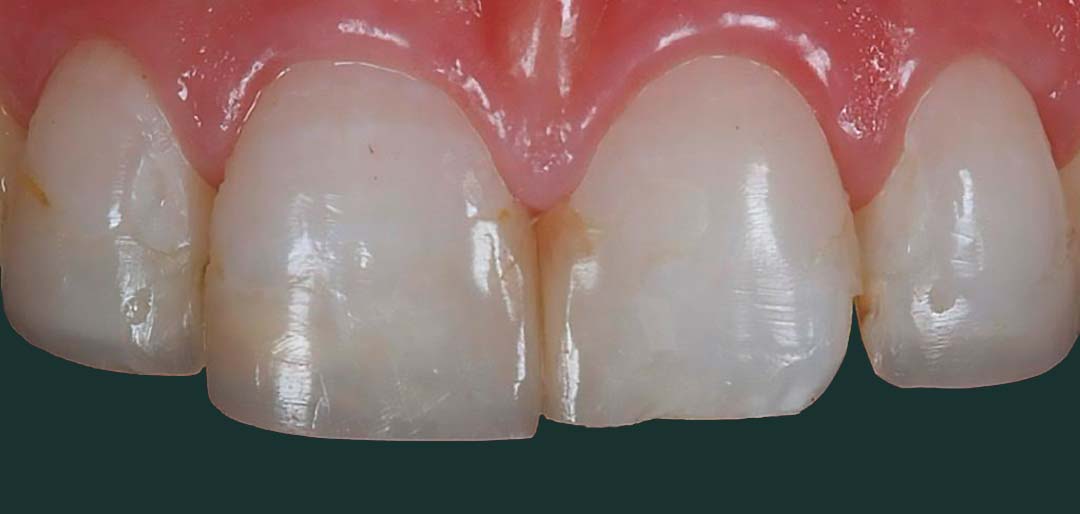
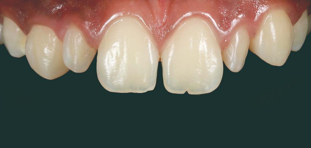
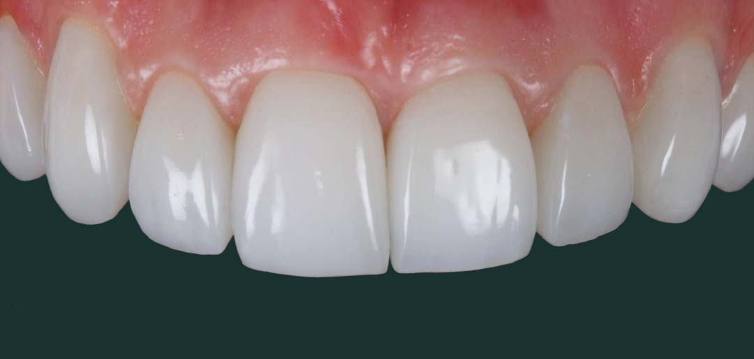
Before
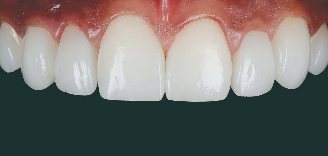
After
Slide right for BEFORE, slide left for AFTER


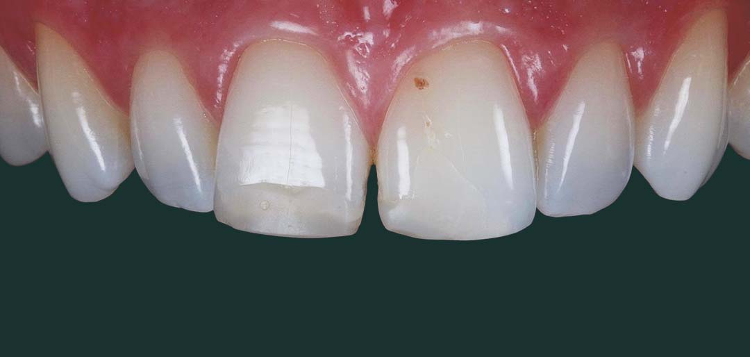
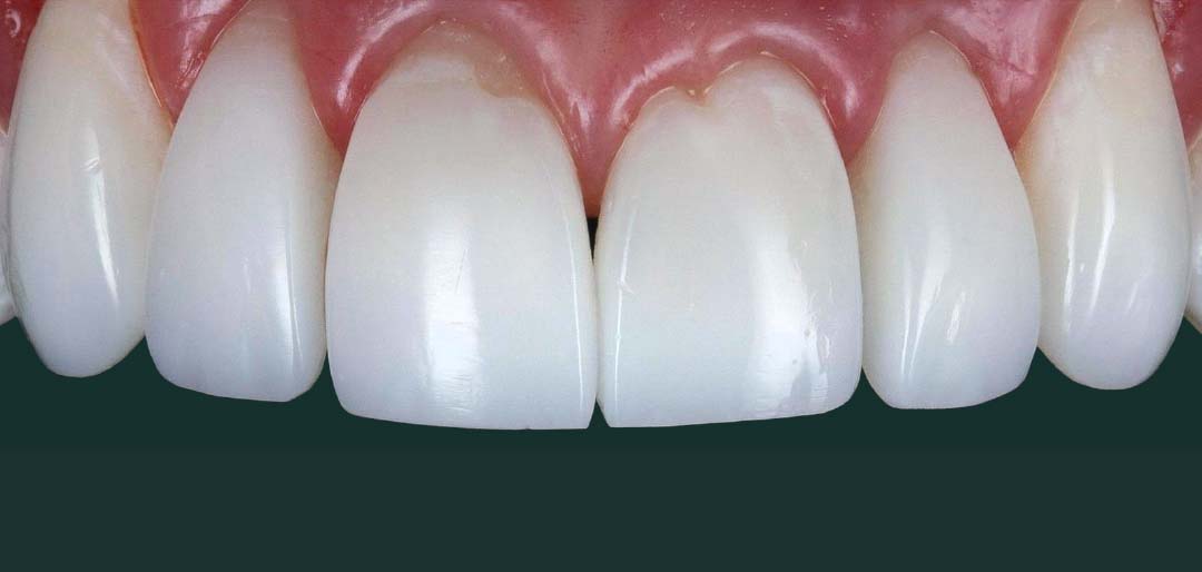
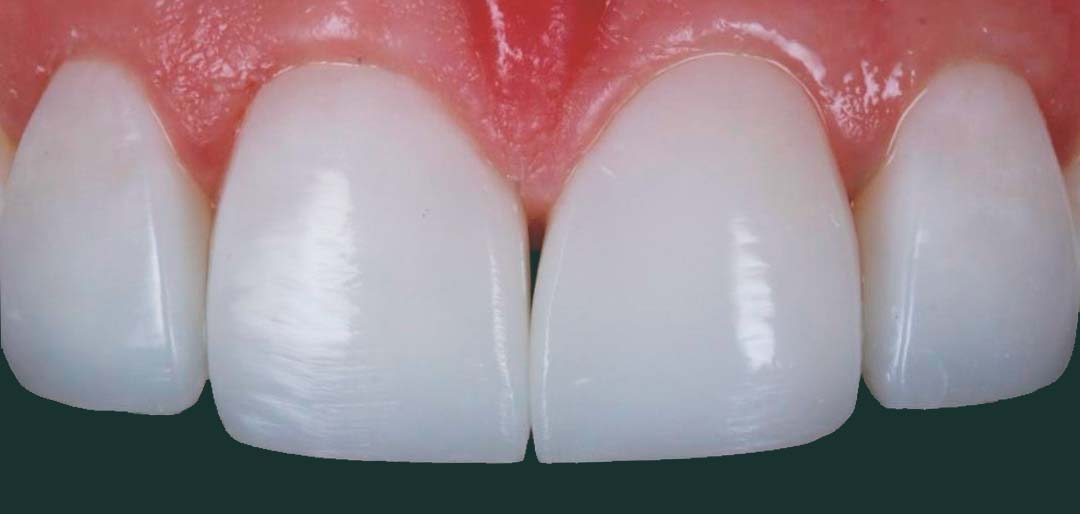
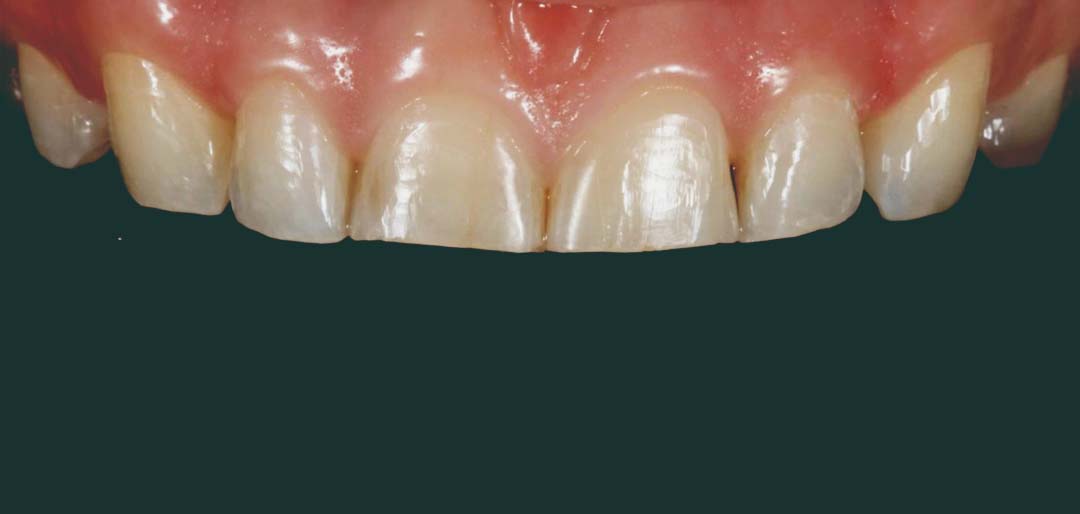
Before
After
Slide right for BEFORE, slide left for AFTER


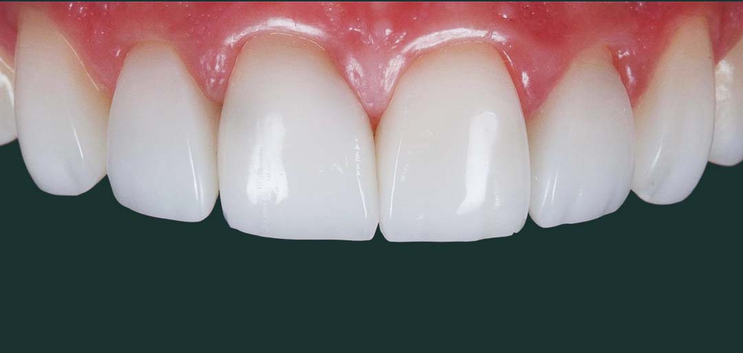
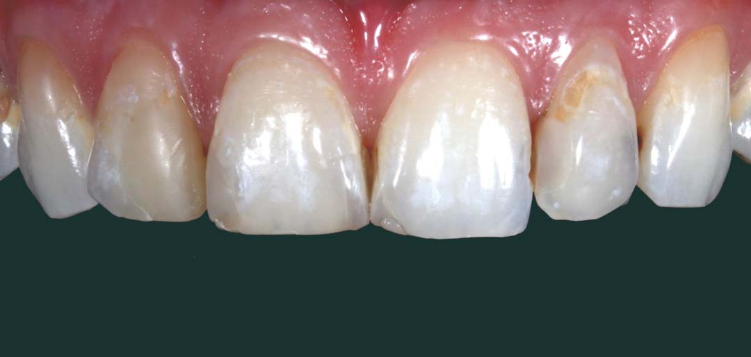
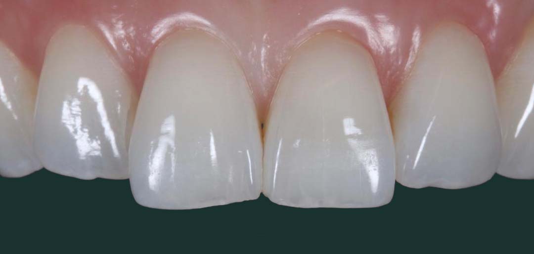
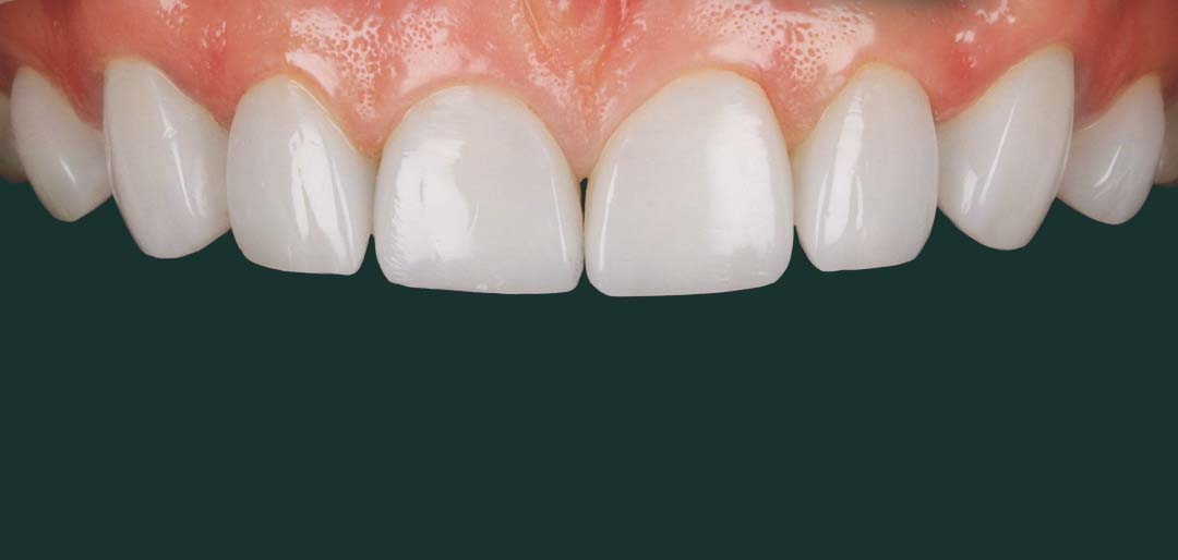
Before
After
Slide right for BEFORE, slide left for AFTER


Before
After
Slide right for BEFORE, slide left for AFTER


Before
After
Slide right for BEFORE, slide left for AFTER


Before
After
Slide right for BEFORE, slide left for AFTER


Before
After
Slide right for BEFORE, slide left for AFTER


Before
After
Slide right for BEFORE, slide left for AFTER


Before
After
Slide right for BEFORE, slide left for AFTER


Before
After
Slide right for BEFORE, slide left for AFTER


Before
After
Slide right for BEFORE, slide left for AFTER


Before
After
Slide right for BEFORE, slide left for AFTER


Before
After
Slide right for BEFORE, slide left for AFTER


Before
After
Slide right for BEFORE, slide left for AFTER


Before
After
Slide right for BEFORE, slide left for AFTER


Before
After
Slide right for BEFORE, slide left for AFTER


Before
After
