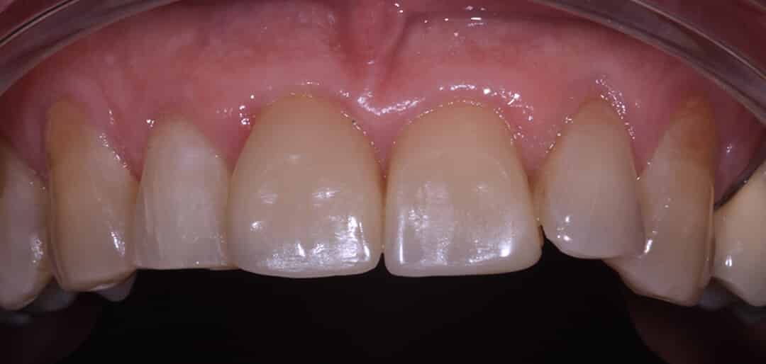
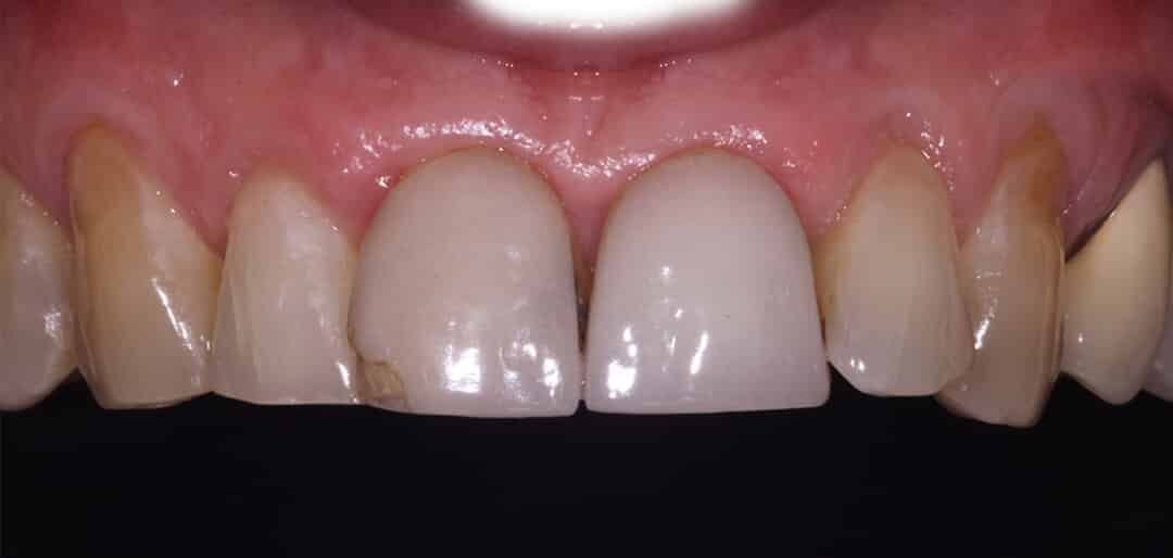
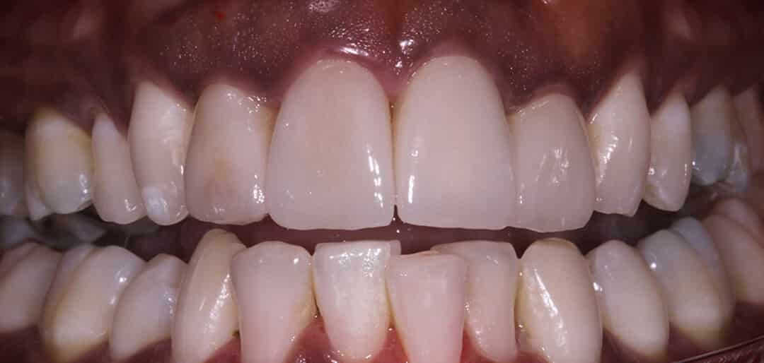
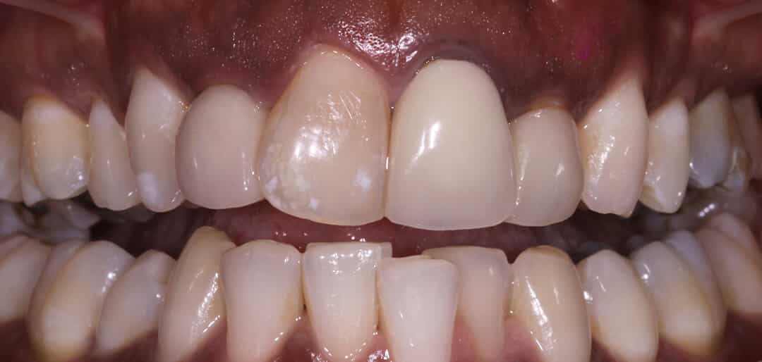
Before and After Veneers Before & After Smiles Dental Implant Transformations Before And After Composite Bonding Before and After Teeth Straightening Veneers Transformations BeforeAfter Slide right for BEFORE, slide left for AFTER BeforeAfter Slide right for BEFORE, slide left for AFTER Learn More Treatment Fees